Drs Dubin, Dubin and Bregman
Dental care that listens, examines, and empowers.
Request an Appointment!
Like us on Facebook
Follow us on Twitter
Visit us on Yelp
Watch our Youtube Videos
Connect with us on LinkedIn
Leave a Google Review
Call or Text Us:
(404) 636-2763
Laser Assisted Cosmetic & Family Dentistry
Pay Your Bill
Home
About
Our Team
Jonathan Dubin
Tammy Bregman
Zachary Dubin
Technology
Treatment
View All
Dental Implant Restorations
Root Canal
Dentures
CEREC Same-Day Crowns
Dental Bridges
Dental Cleanings
Dental Crowns
Cosmetic
View All
Tooth Whitening
Tooth Bonding
Invisalign®
Inlays and Onlays
Dental Veneers
Crown Lengthening
Gallery
Forms
FAQs
View All
Cosmetic Dentistry
Dental Implant Restorations
Invisalign®
Dental Veneers
CEREC Same-Day Crowns
Dental Cleanings
Dental Crowns
Tooth Bonding
Tooth Whitening
Blog
Our Reviews
Contact
Drs Dubin, Dubin and Bregman
>
Gallery
>
Dental Veneers
Dental Veneers
Return to Smile Gallery
Previous
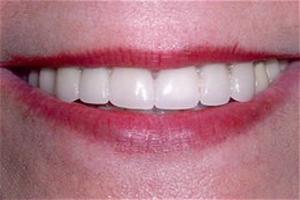
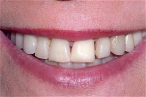
Your Atlanta dental veneer specialist can really beautify your smile.
Before
After
Ready to book an appointment?
Book Online Now
If you have difficulty using our website, please
email us
or call us at
(404) 636-2763
View the
ADA Accessibility Statement
Turn on ADA Views
OK!
×
×
Contact Us Today
Give Us A Call
Our Office -
(404) 636-2763
Send Us an Email
Ready to Schedule an Appointment?
Book Online
Have Questions? Contact Us:
Required Field
Your Name:
Phone:
Email:
Are you a new patient?:
Are you a?
New Patient
Current Patient
How would you like us to contact you?
Please choose
Email
Call
How did you hear about us?
Please choose
I'm an existing patient
Google/Bing
Mailer
Word of mouth
Social media
Other
Who Referred You?:
Your Message:
This site is protected by reCAPTCHA and the Google
Privacy Policy
and
Terms of Service
apply.
Sending...
×
This Patient's Experience
Loading Testimonial...
Loading Case...